
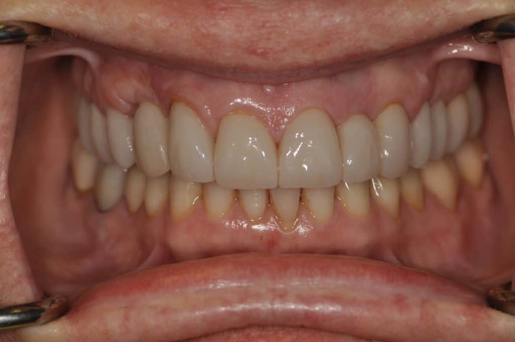
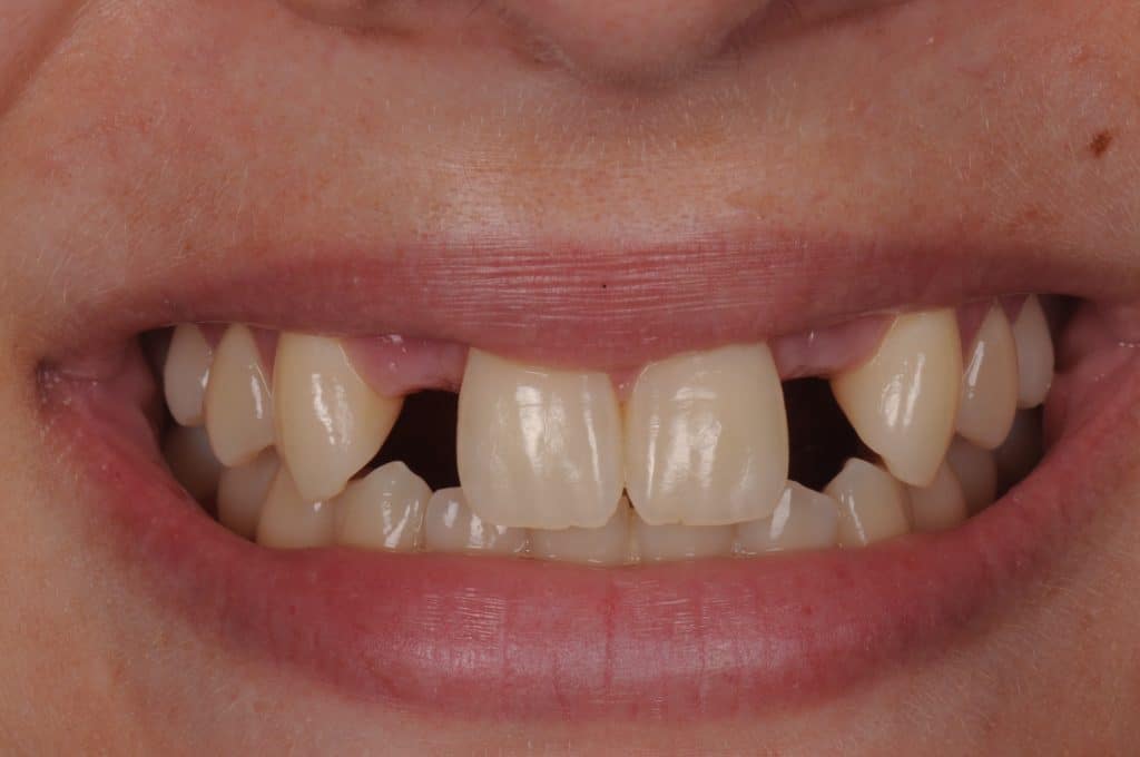
Transform Your Smile with Dr. Sri Sushma Multispeciality Dental Clinic Top Cosmetic Dentists
Dr. Sri Sushma Multispeciality Dental Clinic’s cosmetic team uses digital previews and a focus on facial harmony for your most confident smile—whether you need whitening, reshaping, composite bonding, gap closure, or a full smile transformation. We deliver A-list results with world-class technologies and a gentle touch.
















